Dr. Astrid Nagl
Ausgabe 03/2025
Die Katze ist abgemagert und zeigt Polyurie und Polydipsie, doch die Nierenwerte sind nur grenzwertig erhöht? Der Hund weist bei stark erhöhten Nierenwerten keinerlei klinische Symptomatik auf? Die Ultraschalluntersuchung kann in solchen Fällen entscheidend zu einer besseren Einschätzung der tatsächlichen Nierenfunktion und damit zur Prognose beitragen, erklärt Dr. med. vet. Harald Hechinger im Interview mit dem Vetjournal.
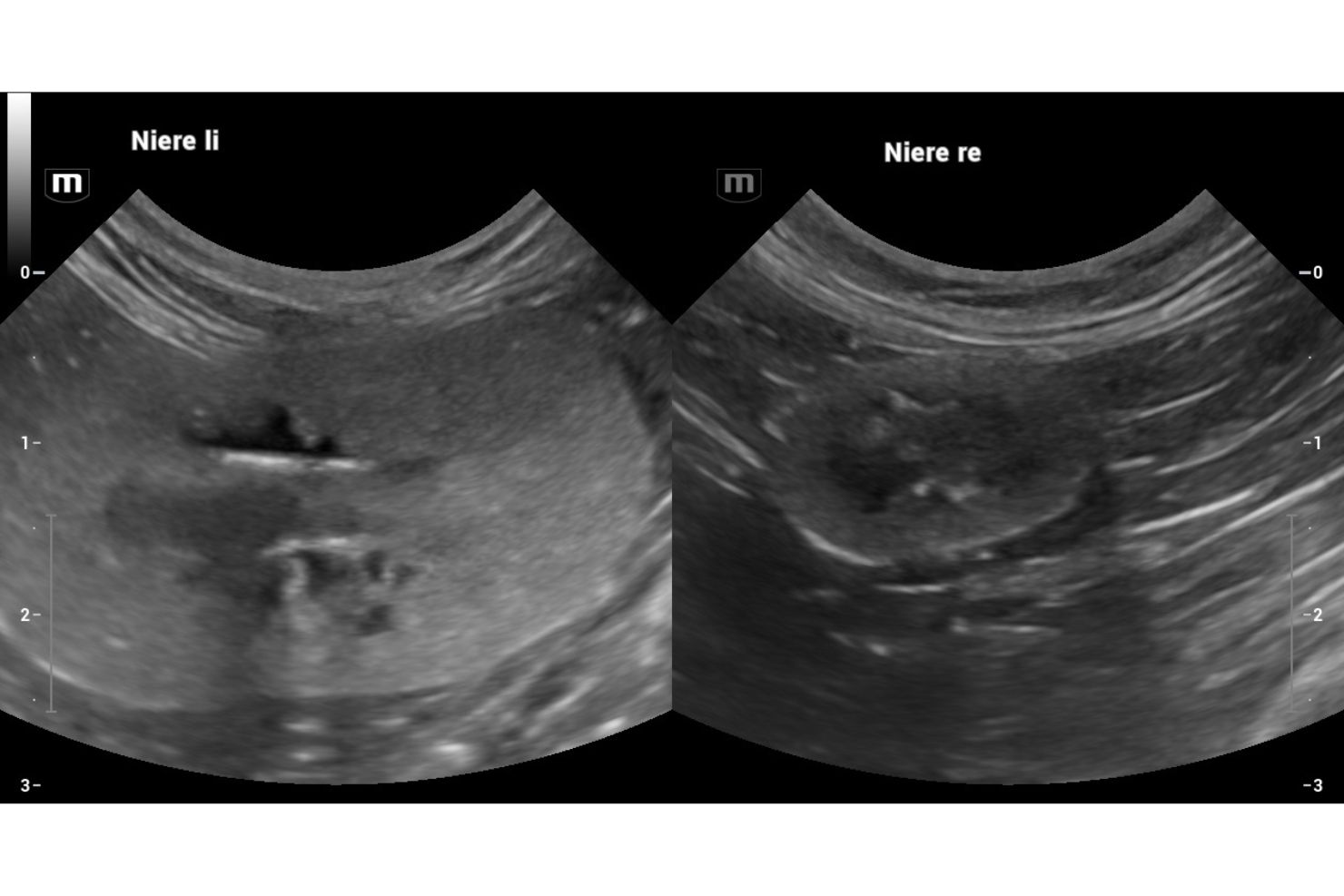
Altersbedingte Veränderungen wie eine hyperechogene Nierenrinde oder ein echoreiches Band an der Rinden-Mark-Grenze („Medullary rim sign“) sehen wir gerade bei älteren Katzen häufig. Doch wie sind diese Veränderungen im Hinblick auf die Nierenfunktion bei Patienten mit erhöhten Nierenwerten einzuschätzen?
Diese altersbedingten Veränderungen, die im Ultraschallbefund als Nephrose bezeichnet werden, gelten bei älteren Katzen als Normalbefund. Die Nierenrinde wird im Alter immer echoreicher; die Rinden-Mark-Grenze ist schlechter zu differenzieren, das heißt verwaschener. Die Niere arbeitet in dieser Phase aber noch normal. Mit zunehmendem Alter verändert die Niere bei der Katze tendenziell die Form, wird etwas kürzer und bekommt ein leicht domförmiges Erscheinungsbild. Auch geringgradige Verkalkungen der Nierenkelche wären in dieser Phase normal. Ich sehe die Hyperechogenität der Nierenrinde aber teils auch bei jüngeren Tieren. Adipositas ist hier ein Faktor, sehr häufig bei kastrierten Katern.
Gilt das auch für Hunde, bei denen die Verdachtsdiagnose CNI im Raum steht?
Tatsächlich ist die Situation bei Hunden anders einzuschätzen: Es ist davon auszugehen, dass die Niere bereits schlechter arbeitet, wenn die Rinde nur geringgradig hyperechogen erscheint. Wenn der juvenile Hund eine echoreiche Nierenrinde aufweist, ist dies bereits ein schlechtes Vorzeichen und hat nicht unbedingt mit Adipositas zu tun. Wenn keine akute Toxämie vorliegt, könnte es sich zum Beispiel um Speicherkrankheiten oder eine Dysplasie handeln. Vorsicht: Bei Chihuahuas gibt es eine physiologische Besonderheit – die Nierenrinde zeigt sich bei dieser Rasse außen hypoechogen, weiter innen aber hyperechogen.
Hören Sie zum Thema „Ernährung bei Nierenbeschwerden“ auch unsere Podcast-Folge:

Welche Veränderungen weisen darauf hin, dass die Nierenfunktion bereits eingeschränkt ist?
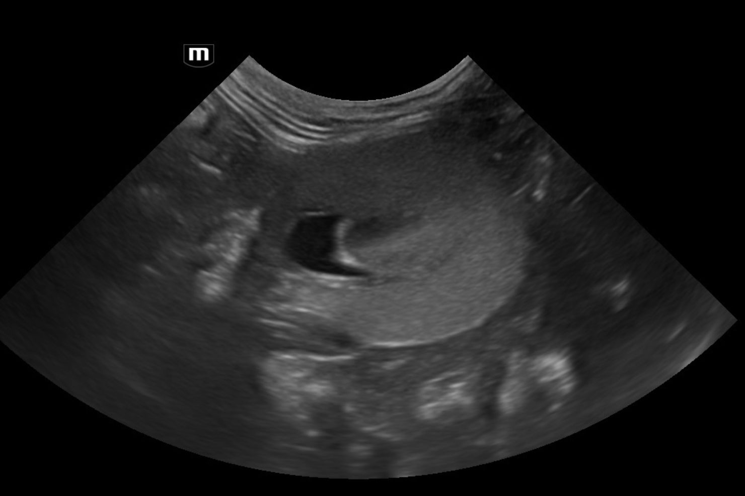
Fortgeschrittene strukturelle Veränderungen zeigen sich bei Katzen durch eine fleckige, hochgradige Hyperechogenität, meist verbunden mit einer anfänglichen Schwellung der Nierenrinde. Es ist keine Unterscheidung der Rinden-Mark-Grenze mehr sichtbar; das Nierenbecken ist erweitert. Daran können wir erkennen, dass diese Niere definitiv schon längere Zeit ein Problem hat. Wenn auch radiäre, hyperechogene Streifen sichtbar sind, ist das prognostisch besonders ungünstig. Eine Verdickung der Nierenrinde ist sowohl bei Hunden als auch bei Katzen ein Alarmsignal – eine Niere, die bereits länger schlechter arbeitet, wird kleiner und höckrig. In weiterer Folge erscheint dann auch das Nierenbecken geringgradig dilatiert. Hier hilft es, beide Nieren zu vergleichen. Die Messung der Breite des Nierenbeckens sollte allerdings nur im Querschnitt erfolgen.
Der Ultraschallbefund hilft also dabei, die Ergebnisse des Blutlabors und der Harnuntersuchung im Hinblick auf die Nierenfunktion einzuordnen?
Manchmal ist der Kreatininwert stark erhöht, doch der Ultraschallbefund ist noch unauffällig – oder umgekehrt sind die Nierenwerte nur grenzwertig erhöht, im Ultraschall ist die Niere aber schon stark verändert. Diese Zusammenschau ist immens wichtig für eine möglichst genaue Einschätzung der tatsächlichen Nierenfunktion und damit für die Prognose. Wenn der Kreatininwert zu steigen beginnt, sind ja bereits mindestens 50 % der Nierenfunktion eingeschränkt. So bringt diese Abklärung auch mehr Sicherheit für die Patientenbesitzer*innen. Ich empfehle, zuerst die Blut- und Harnuntersuchung inklusive Bestimmung des U-P/C durchzuführen und dann die Ultraschalluntersuchung.

Ist die Ultraschalluntersuchung auch als Verlaufskontrolle wichtig oder ist sie vor allem für die erste Einschätzung der Situation heranzuziehen?
Der erste Ultraschallbefund ist wichtig, um Erkrankungen wie zum Beispiel die polyzystische Nierenerkrankung ausschließen zu können. Auch Begleiterkrankungen wie eine urämische Gastritis sehe ich bei fortgeschrittener CNI häufig – das ist natürlich prognostisch ungünstig. Daher empfehle ich, die Ultraschalluntersuchung wenn möglich durchzuführen, sobald erste klinische Symptome wie Polyurie und Polydipsie auftreten und möglicherweise die Nierenwerte noch gar nicht auffällig erhöht sind. Für Verlaufskontrollen sind die Kontrollen der Blutwerte wichtiger. Die Ultraschalluntersuchungen sollten dann je nach Ausgangslage individuell vereinbart werden.
Während die CNI gerade bei älteren Patienten sehr häufig auftritt, gibt es aber auch noch eine ganze Reihe von Differentialdiagnosen: die Hydronephrose oder die Bildung von Nierensteinen.
Größere Konkremente in der Niere sehe ich vergleichsweise selten. Was die Hydronephrose betrifft, so gibt es leider in der Veterinärmedizin keine Klassifikation der verschiedenen Stadien; die Humanmedizin hat im Gegensatz dazu viel genauere Kriterien festgelegt. Meiner Erfahrung nach kann sich eine etwaige Hydronephrose nach chirurgischer Intervention wieder erholen, wenn etwa eine Obstruktion durch ein Konkrement im Ureter vorlag, solange noch eine Rinden-Mark-Grenze beziehungsweise größere Anteile der Rinde vorhanden sind.
Eine kritische Frage ist oft, ob es sich bei strukturellen Veränderungen der Niere auch um ein Lymphom handeln könnte …
Ja, in diesen Fällen müssen wir höllisch aufpassen. Ein hypoechogener Saum an der äußersten Peripherie der Nierenrinde kann auf ein Lymphom hinweisen. Doch Vorsicht: Ein solcher gleichmäßiger Saum entsteht auch bei einer Nephritis – und diese ist behandelbar! Im Zweifelsfall sollte in solchen Fällen nicht zur Euthanasie geraten werden, sondern vielmehr zur weiteren Abklärung bzw. Überweisung und zu einem Therapieversuch. Wenn der Saum allerdings ungleichmäßig breit ist – also an manchen Stellen ein Millimeter und an anderen drei bis fünf Millimeter – und wenn außerdem die Nierenrinde fleckige Areale mit echoärmeren, rundlichen Knoten aufweist, ist das ein Hinweis auf ein Lymphom. Daher ist es bei dieser Fragestellung besonders wichtig, sich bei der Untersuchung Zeit zu nehmen, langsam zu schallen und das Gel gut einziehen zu lassen, um wirklich eine gute Einschätzung treffen zu können, speziell die Echotextur der Nierenrinde betreffend.
